審美

自分の歯の状態が気になって思いっきり笑えないとか、人の前で口を開けにくいなど思ったことはありませんか?
今西歯科クリニックでは、バネのない入歯、ホワイトニング、自然な白さのセラミックなどの審美治療も行っています

◆バネの無い入れ歯

左の画像
右の画像
治療例
上がバネの無い入れ歯、下が保険治療の入れ歯です。

◆お家でできるホワイトニング

左の画像
右の画像
当院がご提供するホワイトニングは(1)しみにくい、(2)好きな時にお家で、(3)お手軽にしていただけるホワイトニングです。。

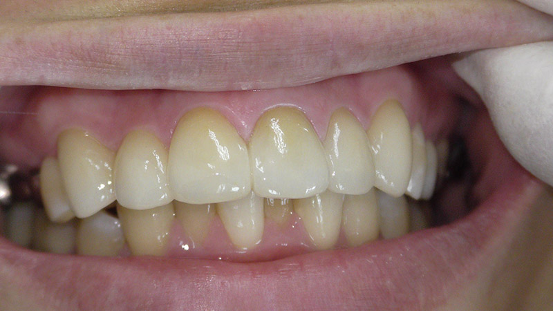
◆セラミック(白い歯)

左の画像
右の画像
どの歯がセラミックか分かりますか?